عاجل
Yalla Shoot🔥 يلا شوووت| مباراة ريال مدريد Real Madrid ضد مانشستر سيتي Manchester City بث مباشر وقمة كروية مشتعلة الليلة 0*0 ببلاش مجانًا.. 🇪🇸🆚🇬🇧 القنوات الناقلة «لماتش» ريال مدريد ضد مانشستر سيتي Real Madrid vs Manchester City في قمة نارية اليوم🔥 أدخل شوف الماتش هنا.. آخر فرصة يلااااااااا كووووورة بلس ماتش مصر ضد الأردن Egypt vs Jordan بث مباشر الآن سانتياجو برنابيو على موعد مع الإثارة.. ريال مدريد يستضيف مانشستر سيتي والنجوم في الصدارة قمة أوروبية نارية.. ريال مدريد يواجه مانشستر سيتي والأنظار على مرموش
بوابة الفجر
بوابة الفجر
  • أخبار مصر
  • تقارير وحوارات
  • الاقتصاد
  • الفجر الفني
  • الفجر الرياضي
  • عربي ودولي
  • توك شو
  • القائمة
القائمة
facebook twitter youtube instagram rss feed
  • الرئيسية
  • أخبار مصر
  • تقارير وحوارات
  • الاقتصاد
  • الفجر الفني
  • الفجر الرياضي
  • عربي ودولي
  • توك شو
  • محافظات
  • حوادث
  • صور
  • الفجر السياسي
  • الفجر الطبي
  • تكنولوجى
  • سيارات
  • مقالات الرأي
  • ركن القراء
  • منوعات
  • إسلاميات
  • أبراج
  • كاريكاتير
  • فضفضة
  • طلاب وجامعات
  • أقباط وكنائس
  • العدد الأسبوعي
  • العدو الصهيوني
  • السعودية
  • انفوجراف
  • رياضة
  • تونس 365
  • القائمة
  1. الرئيسية
  2. 30 سنة

30 سنة

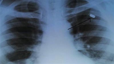
أصيب بها قبل 30 عاما.. أطباء يستخرجون رصاصة من صدر رجل!

أصيب بها قبل 30 عاما.. أطباء يستخرجون رصاصة من صدر رجل!

26/November/2018
بوابة الفجر
facebook twitter youtube instagram rss feed
من نحن - إتصل بنا - أعلن معنا - بيان الخصوصية
أخبار مصر تقارير وحوارات الاقتصاد الفجر الفني الفجر الرياضي عربي ودولي توك شو محافظات حوادث صور الفجر السياسي الفجر الطبي تكنولوجى سيارات مقالات الرأي ركن القراء منوعات إسلاميات أبراج كاريكاتير فضفضة طلاب وجامعات أقباط وكنائس العدد الأسبوعي العدو الصهيوني السعودية انفوجراف رياضة تونس 365
© 2021 elfagr.org All Rights Reserved. | sync solutions
بوابة الفجر
  • الرئيسية
  • أخبار مصر
  • تقارير وحوارات
  • الاقتصاد
  • الفجر الفني
  • الفجر الرياضي
  • عربي ودولي
  • توك شو
  • محافظات
  • حوادث
  • صور
  • الفجر السياسي
  • الفجر الطبي
  • تكنولوجى
  • سيارات
  • مقالات الرأي
  • ركن القراء
  • منوعات
  • إسلاميات
  • أبراج
  • كاريكاتير
  • فضفضة
  • طلاب وجامعات
  • أقباط وكنائس
  • العدد الأسبوعي
  • العدو الصهيوني
  • السعودية
  • انفوجراف
  • رياضة
  • تونس 365
facebook twitter youtube instagram rss feed