عاجل
الشووووط الأول| يلا شوت السعودية LIVE.. ⚽🔥 مشاهدة مباراة Saudi Arabia 🇸🇦 vs Jordan 🇯🇴 بث مباشر جودة عالية اليوم في كأس العرب 2025 مواجهة نارية بين السعودية والأردن في نصف نهائي كأس العرب 2025.. إليك القنوات وطريقة المشاهدة المباشرة قمة عربية نارية الليلة.. السعودية تصطدم بالأردن في كأس العرب 2025 والبث متاح للجماهير بث مباشر اليوم.. مواجهة نصف النهائي بين المغرب والإمارات في كأس العرب 2025 ومتابعتها عبر الإنترنت بث مباشر.. المغرب يلتقي الإمارات في نصف نهائي كأس العرب 2025.. تعرف على القنوات وكيفية المشاهدة
بوابة الفجر
بوابة الفجر
  • أخبار مصر
  • تقارير وحوارات
  • الاقتصاد
  • الفجر الفني
  • الفجر الرياضي
  • عربي ودولي
  • توك شو
  • القائمة
القائمة
facebook twitter youtube instagram rss feed
  • الرئيسية
  • أخبار مصر
  • تقارير وحوارات
  • الاقتصاد
  • الفجر الفني
  • الفجر الرياضي
  • عربي ودولي
  • توك شو
  • محافظات
  • حوادث
  • صور
  • الفجر السياسي
  • الفجر الطبي
  • تكنولوجى
  • سيارات
  • مقالات الرأي
  • ركن القراء
  • منوعات
  • إسلاميات
  • أبراج
  • كاريكاتير
  • فضفضة
  • طلاب وجامعات
  • أقباط وكنائس
  • العدد الأسبوعي
  • العدو الصهيوني
  • السعودية
  • انفوجراف
  • رياضة
  • تونس 365
  • القائمة
  1. الرئيسية
  2. حبه

حبه

كورال جماهيري| مرشح دائرة بولاق الدكرور يروي تفاصيل ليلة احتشد فيها الآلاف

كورال جماهيري| مرشح دائرة بولاق الدكرور يروي تفاصيل ليلة احتشد فيها الآلاف

منذ أقل من شهر
فضل قراءة سورة الكهف يوم الجمعة وأثرها في حياة المسلم

فضل قراءة سورة الكهف يوم الجمعة وأثرها في حياة المسلم

منذ 3 أشهر

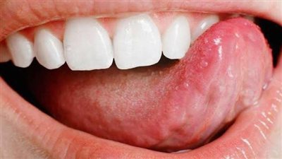
"10 طرق لعلاج حبة السخونة ".. تعرف على طرق العلاج والوقاية من حبة السخونة بالفم واللسان

منذ سنتين
الموسيقات العسكرية المصرية تشارك في الاحتفال بالعيد الوطني الـ51 للكاميرون والعيد الـ 6 لتأسيس الوحدة الوطنية للاتحاد الإفريقي

الموسيقات العسكرية المصرية تشارك في الاحتفال بالعيد الوطني الـ51 للكاميرون والعيد الـ 6 لتأسيس الوحدة الوطنية للاتحاد الإفريقي

30/May/2023
رئيس جامعة حلوان يشهد انطلاق جائزة نوار للرسم بكلية الفنون الجميلة

رئيس جامعة حلوان يشهد انطلاق جائزة نوار للرسم بكلية الفنون الجميلة

09/May/2023
يبدأ من غد الأحد حتى الإثنين.. فضل صيام يوم عاشوراء

يبدأ من غد الأحد حتى الإثنين.. فضل صيام يوم عاشوراء

06/August/2022
لكل آدم.. كيف تكسب قلب حواء

لكل آدم.. كيف تكسب قلب حواء

28/July/2022
فإني قريب (6).. إلى كل حيران تعرف على صلاة الاستخارة

فإني قريب (6).. إلى كل حيران تعرف على صلاة الاستخارة

28/July/2022
مدحت صالح على المسرح الكبير بالأوبرا

مدحت صالح على المسرح الكبير بالأوبرا

26/May/2022
 تقى علي رمضان من ذوي القدرات الخاصة:

تقى علي رمضان من ذوي القدرات الخاصة: "أعشق رقص التنورة وتدربت في 6 شهور فقط"

17/April/2022

"الفجر الفني" ينفرد بالحديث مع شيماء صبحي: "الحجاب كان سبب إثبات نفسي في رقص الدانس"

20/March/2022
سمير صبري لفنانين الجيل الحالي

سمير صبري لفنانين الجيل الحالي "عيب الشرشحة على السوشيال ميديا انتم قدوة لاجيال"

03/February/2022

"الجمارك" السعودية تعلن إحباط تهريب 3.2 ملايين حبة كبتاجون

18/November/2019
تناولها بالخطأ.. مصرع مزارع بالحبة القاتلة في المنيا

تناولها بالخطأ.. مصرع مزارع بالحبة القاتلة في المنيا

22/October/2018
رئيس الشؤون الدينية بتركيا: نعيش فترة ذهبية للعلاقات مع المملكة

رئيس الشؤون الدينية بتركيا: نعيش فترة ذهبية للعلاقات مع المملكة

07/November/2016
الملك فاروق وعشقه للفكاهة

الملك فاروق وعشقه للفكاهة

06/November/2016
الملك فؤاد وعشقه لوالده

الملك فؤاد وعشقه لوالده

06/September/2016
الملك فاروق وأول سيارة يقودها

الملك فاروق وأول سيارة يقودها

02/September/2016
بوابة الفجر
facebook twitter youtube instagram rss feed
من نحن - إتصل بنا - أعلن معنا - بيان الخصوصية
أخبار مصر تقارير وحوارات الاقتصاد الفجر الفني الفجر الرياضي عربي ودولي توك شو محافظات حوادث صور الفجر السياسي الفجر الطبي تكنولوجى سيارات مقالات الرأي ركن القراء منوعات إسلاميات أبراج كاريكاتير فضفضة طلاب وجامعات أقباط وكنائس العدد الأسبوعي العدو الصهيوني السعودية انفوجراف رياضة تونس 365
© 2021 elfagr.org All Rights Reserved. | sync solutions
بوابة الفجر
  • الرئيسية
  • أخبار مصر
  • تقارير وحوارات
  • الاقتصاد
  • الفجر الفني
  • الفجر الرياضي
  • عربي ودولي
  • توك شو
  • محافظات
  • حوادث
  • صور
  • الفجر السياسي
  • الفجر الطبي
  • تكنولوجى
  • سيارات
  • مقالات الرأي
  • ركن القراء
  • منوعات
  • إسلاميات
  • أبراج
  • كاريكاتير
  • فضفضة
  • طلاب وجامعات
  • أقباط وكنائس
  • العدد الأسبوعي
  • العدو الصهيوني
  • السعودية
  • انفوجراف
  • رياضة
  • تونس 365
facebook twitter youtube instagram rss feed