مرض نادر يحول عظام طفلة لرماد (صور)

تعاني طفلة بريطانية من مرض وراثي نادر يجعل عظامها تتفتت كالتراب، وتفقد القدرة على المشي أو الحركة.
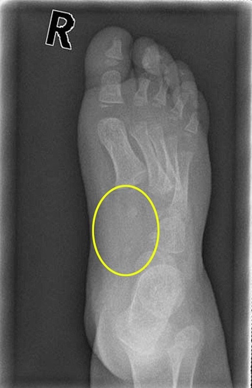
وشخص الأطباء إصابة الطفلة "ليا سودن"، ابنة الـ5 سنوات، بالمرض الغريب عام 2012، بعد أن أظهرت صور الأشعة السينية تفتت أجزاء من عظامها، وقال الأطباء، إن المرض يتسبب بتحور وانتقال خلايا الدم عبر الجسم، ويتسبب بآفات خطيرة أينما حل.
وهاجم المرض عظام "ليا" في منطقة الحوض والوركين والقدمين والفك، ولم تعد قادرة على المشي، واضطرت إلى جر ساقيها خلفها للانتقال من مكان إلى آخر، قبل أن يكتشف الأطباء ماهية المرض الغامض.
وقالت والدة "ليا أنجيلا سودن"، ذات الـ43 عامًا، "كان من الصعب مشاهدة ابنتي وهي تنتقل من اللعب والجري من مكان لآخر، إلى محاولة الزحف من جديد كطفل في شهره السادس".
وتابعت والدة "ليا أنجيلا سودن": "عندما قام الأطباء بأخذ خزعة من الورم، اكتشفوا أنه ناتج عن مرض وراثي نادر، وكشفت صور الأشعة الصينية أنه انتشر في جميع خلايا جسدها، وأكل المرض العظام في قدمها، وكانت هناك حفرة عميقة وعظام الناحية اليسرى من الحوض أصغر ومختلفة تماماً عن الناحية اليمنى".
وكان على "ليا" الخضوع لعلاج بـ"الستروئيدات"، و"العقاقير الكيماوية" لمدة عام كامل، واعتقدت والدتها في عيد ميلادها الثالث، أنها كانت على الطريق الصحيح للشفاء، قبل أن يكشف سقوطها في بركة السباحة عن أمر أسوأ، حيث بدأ المرض بمهاجمة دماغ الطفلة.
وخضعت "ليا" للعديد من العمليات الجراحية، لإزالة السوائل التي تراكمت في الدماغ، وساعد الأصدقاء والدتها على جمع التبرعات لتصطحبها في رحلة إلى "ديزني لاند" قد تكون الأخيرة بالنسبة لها.



